矯正治療
歯並び、かみ合わせの問題にはどのようなものがあるのでしょうか?
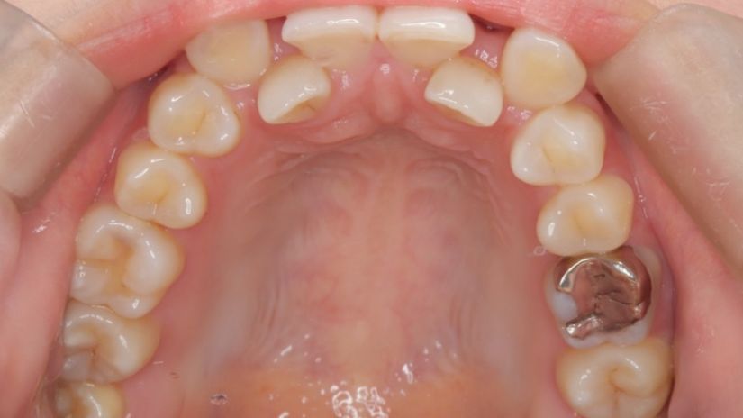
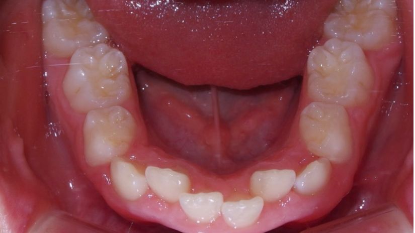
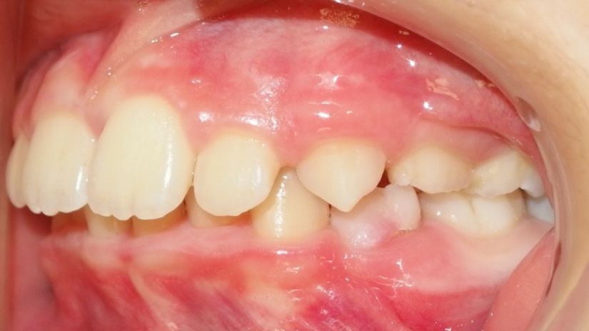
・叢生(そうせい)
乱ぐい歯とも呼ばれます、いわゆる歯がガタガタした状態のことです。顎が狭く、歯が混雑しています。
子どもでは、適切に対応し健全な成長を促すと大きさも形もよりバランスよく成長してくれます。顎の骨格が完成している大人の矯正では抜歯が必要になることが多いです。


・反対咬合
受け口とも呼ばれます。下顎の歯が上顎の歯に被ったりしている状態です。
子どもの反対咬合の多くは上顎の発育不足です。上顎の成長を助けてあげる治療が必要になります。放置しておくと反対になったかみ合わせが助長され下顎が過成長を起こして、成人になると治療のために顎の骨を切る外科的矯正が必要になることもあります。
この反対咬合は遺伝要因が強いとされています。ご家族に反対咬合の方がいらっしゃる場合は要注意です。

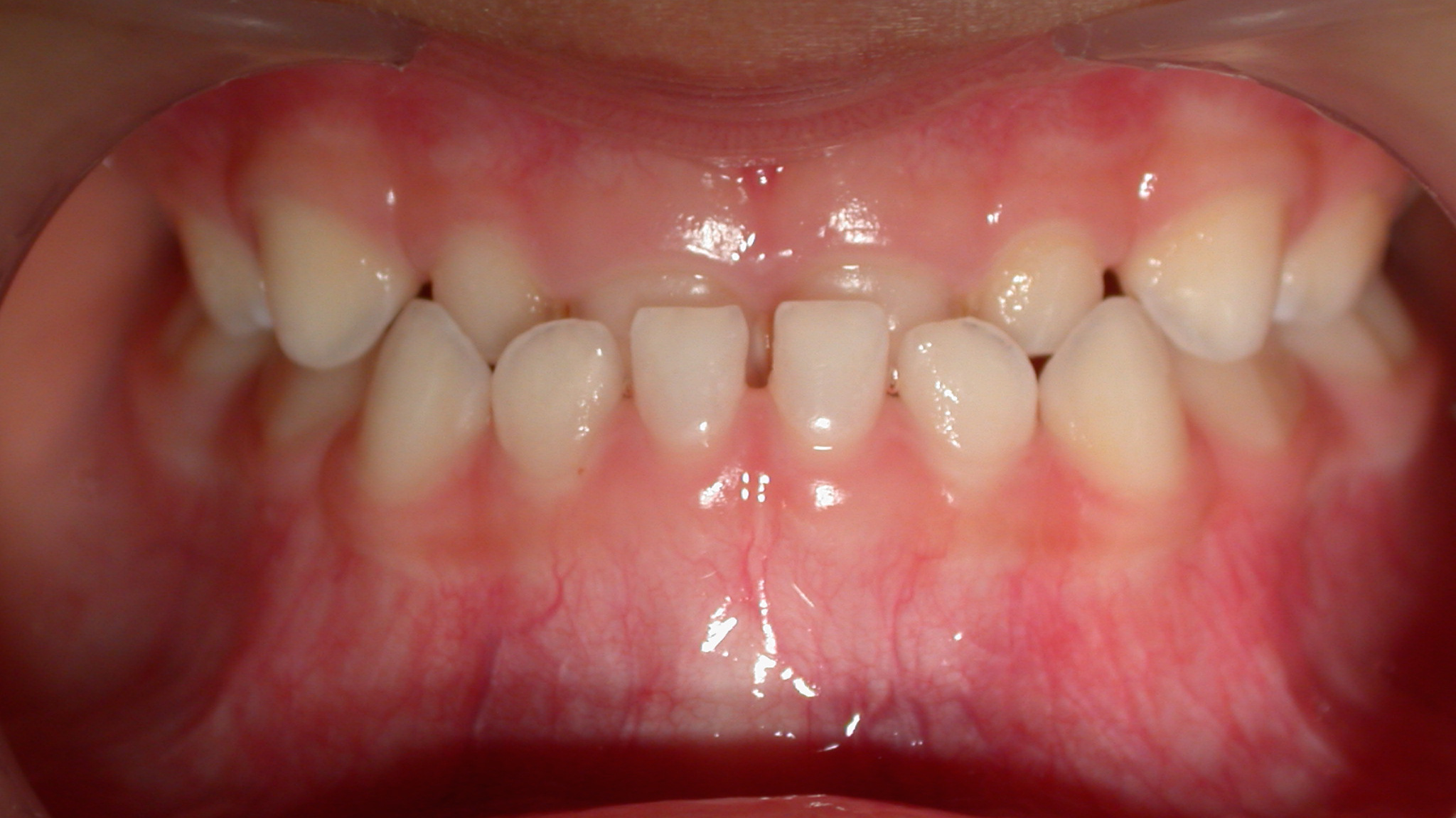
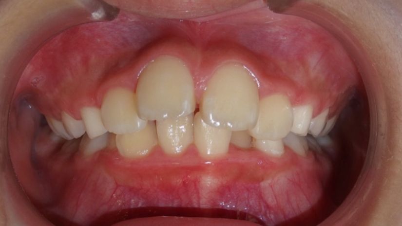
・出っ歯・上顎前突
上顎の前歯が前方に飛び出している状態です。指しゃぶりなどで上顎の前歯を押し出す悪習慣で発症します。また、絶えず口元が緩んでいるお口ポカンでも起きやすい症状です。

・下顎の後退
奥かみや下顎を後ろに押し付けたりする悪習慣から発症します。

・開口(かいこう)
上下の歯をかみ合わせても隙間ができてしまう状態です。舌をかむなどの悪習慣でかみ合わせが開いてしまいます。

オリエント歯科で行っている矯正治療は?
・床矯正:なるべく歯を抜かない矯正治療
歯並びの大きな問題は、顎が小さいから歯が並ぶことができないことです。いろいろな治療方法があります。歯科矯正においては歯が並ばなくなったので、歯を抜いて顎との大きさの調和をはかることが多いようです。
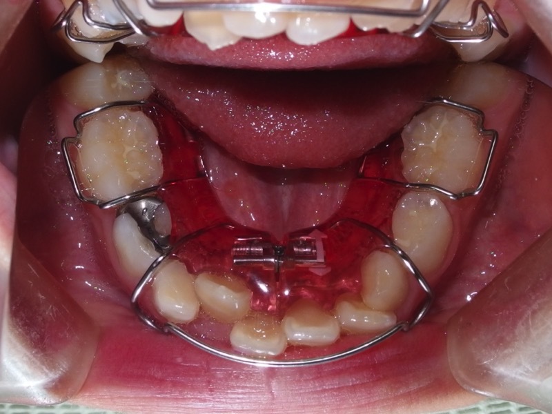
「床矯正」の考え方は、顎が小さく歯が並ぶことができないならば、歯を抜くのではなく、正しい顎の大きさに顎を拡大しようというものです。顎を拡大する装置を「可撤式床矯正装置(かてつしき・しょうきょうせいそうち)」といいます。 この装置は入れ歯と同じで、簡単に取り外しができます。入れ歯のプラスティックの部分を「床」といいます。入れ歯を利用してネジの装置で顎を広げたり、歯を動かす装置と考えてください。
しかし、際限なく顎を大きくすることはできません。歯並べるために標準値を越えてまであごを大きくすることはしません。このような場合、歯並びがデコボコしている原因が顎にあるのではなく歯にありますので、歯を何本か少しづつ削ったり、抜歯をしたりして解決する必要があります。
オリエント歯科では、このような抜歯矯正は行なっておりません。その必要性が高ければ、矯正専門医をご紹介させていただいております。


・ムーシールド:子ども専用のマウスピースを使った3~6歳の反対咬合・受け口治療
ムーシールドは反対咬合の早期初期治療に用いる機能的顎矯正装置で、夜間就寝時に装着してもらいます。上唇の力を排除し、上顎の正常な成長を促します。またムーシールドを装着した状態で口唇を閉じる動作を意識的に行わせることで、オトガイ部に緊張を与え下顎を後退させます。また、舌を上に持ち上げる力をつけて口蓋(上顎)に押し付けることによって上顎の前方成長を促します。
特徴
1. 3歳時健診時の早期治療に対応します
2.被蓋の改善
3.舌圧と口唇圧のバランスを保ちます
4.舌を高位に保ちます
幼児期の反対咬合は自然治癒の可能性があるとされていますが、2歳で反対咬合だった子の50%は自然治癒する一方で、3歳になると、治癒率は6%程度に低下するという研究発表があります。そのため反対咬合の積極的な治療は3歳頃より開始するのが望ましいといえます。
注意
ムーシールドを使用した治療は寝ている間にマウスピースをはめて頂く治療です。このマウスピースは歯列に対して強制的にはめ込んでおけるものではなく、お子様自身が外さないように意識する必要があります。このため3歳位のお子様では無意識に寝ているうちに外してしまい、効果が出せない例が出てきています。お子様が治療に協力できるようになった上で、治療は開始する必要があります。
ムーシールドは、筋肉の力を利用した装置の一つです。多くの受け口のお子さんに有効な治療法ですが、下顎の骨が過度に成長しているなど、骨格的な要素が強い方には効果はあまり期待できません。治療開始年齢が低いほど、改善の確率は高い傾向にありますが、ムーシールドを使用した治療だけでは反対咬合が改善されない場合や後戻りをしてしまった場合は次のステップとして本格的な矯正治療に移行する必要があります。


・噛みしめ型FKO:噛みしめる力で出っ歯を矯正
前歯が突き出ている状態の出っ歯(上顎前突)はかみ合わせだけではなく、見た目も気になりますよね。オリエント歯科ではこのような場合、噛みしめ型FKO(エフ・カー・オー)という装置を用いて成長期の治療を行っています。
この装置は、上下のマウスピースが一体となったような形態をしており、夜間就寝時に装着します。この時、寝る前と起きた後に装置を噛みしめてもらいます。1回あたり5~10秒間噛みしめ、その後1秒間休んで、再び噛みしめます。これを50回それぞれ夜と朝にやるのです。
治療の開始時期は、下顎の成長が加速される時期(身長が大きく伸びる時が目安です)が好ましいとされています。


9:00~12:30 13:30~18:00
(木曜日13:30~14:30はスタッフミーティングを行っています)
9:00~12:00
※ 休診 日曜・祝日
011-746-3155