しっかりと説明します
オリエント歯科が大切にしていることの一つに、「患者さんへ、しっかりと説明する」ということがあります。
当院にいらした患者さんの中には、「今までは歯医者さんに行っても、あまり説明もなく治療を受けていた」という方もたまにいらっしゃって、逆に驚いてしまいます。きっと担当の先生は説明していたと思うのですが、うまく伝わっていなかったのではないかと推察します。
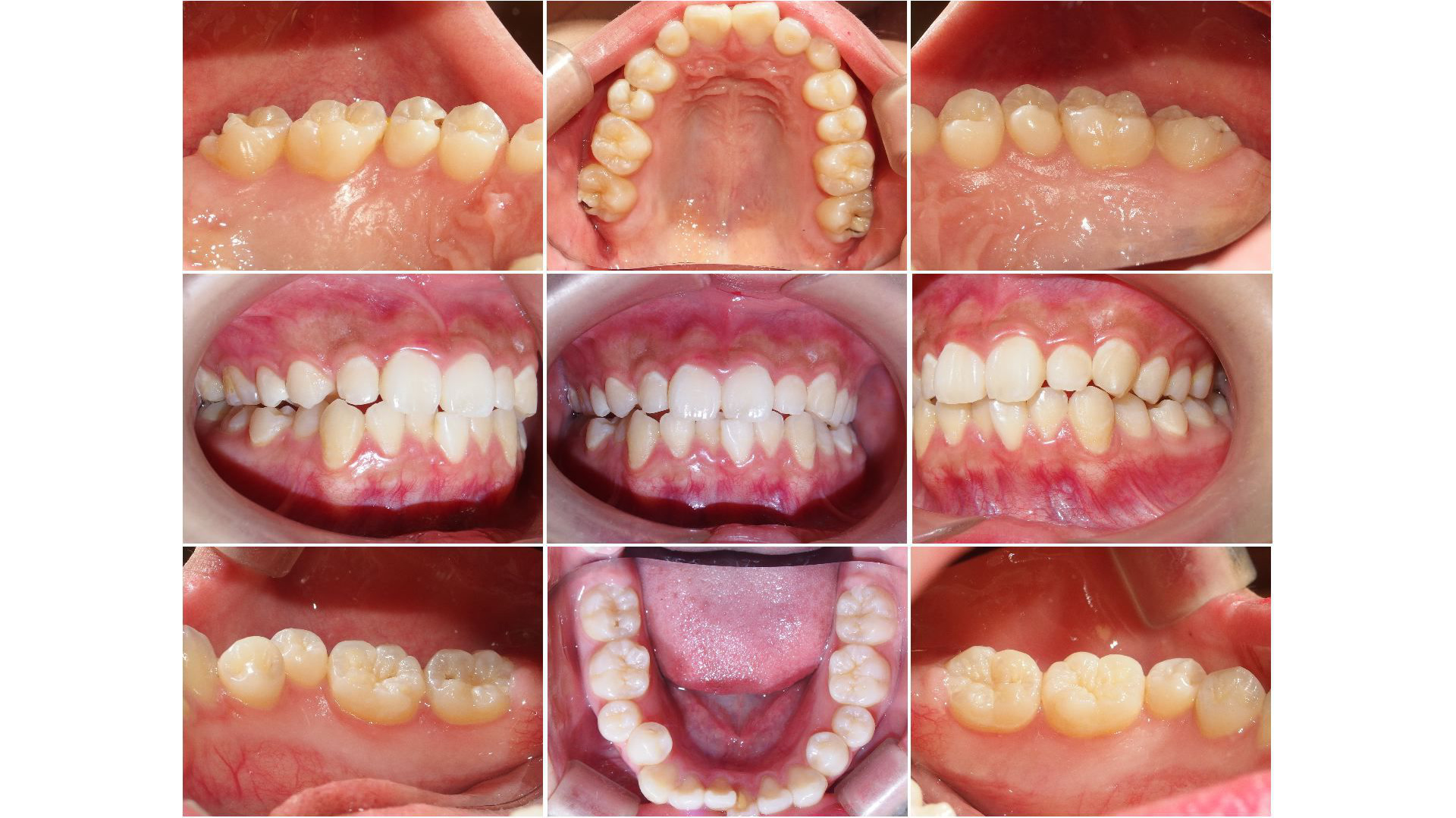
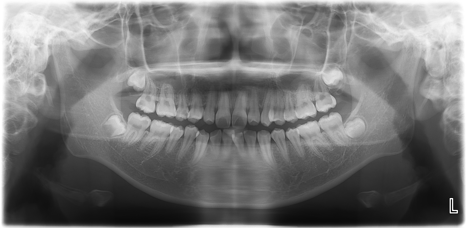
オリエント歯科では、まずはスタートとして、ご自身のお口の中がどういう状態なのかということをお伝えしているようにしています。そのため、受診された方のお口の中の写真を撮らせていただいています。正面から、右側から、左側から、上顎全体、下顎全体、右上、右下、左上、左下と9枚記録させていただくことが多いです。また必要に応じてレントゲン写真を撮らせていただきます。
そして、これらをカウンセリングルームのパソコンにて表示し、なるべく分かりやすい言葉で説明するように心がけています。 カウンセリングルームは、個室ですので色々なことをお話しいただければと思います。
カウンセリングをするときのパソコン画面イメージです。
カウンセリングルームでお話しする内容
- どのような状態なのか
- そして、どのような問題があるのか
- 実は問題がないとか…
- どのような治療方法があるのか
- どのような治療希望をお持ちなのか
- どういった治療を行うのか
- あえて治療を行わないとか
- 今後、どのようなことに気をつける必要があるのか
- 全身的な問題はないのか
- 内科などの他の医療機関との連絡相談は必要なのか
- 治療のスケジュールをどうするか
- 苦手な歯科治療はないのか
- 継続的なメインテナンスが必要なこと
場合によっては、その場で説明が全て終わらないこともあります、治療計画が立たないこともあります。当方にて分かりうる情報をお伝えしますが、みなさんがどのような治療を望まれるのかはお時間をかけて考えていただくことも大切かと考えています。
9:00~12:30 13:30~18:00
(木曜日13:30~14:30はスタッフミーティングを行っています)
9:00~12:00
※ 休診 日曜・祝日
011-746-3155
